La periodoncia es la especialidad de la odontología que se encarga de sanar, mantener o reconstruir los tejidos que rodean y sostienen a los dientes (encía, ligamento periodontal, hueso alveolar, cemento radicular), con el objetivo de mantener su salud, función y estética en el tiempo.
¿Qué es la enfermedad periodontal y en qué consiste su tratamiento?
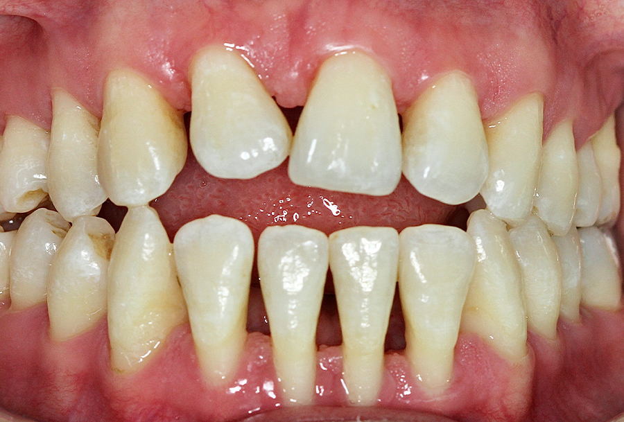
La enfermedad periodontal más común es la gingivitis, que se produce por la acumulación de placa bacteriana entre los dientes, provocando inflamación y sangramiento de las encías. Con el paso del tiempo esta placa bacteriana se convierte en sarro de consistencia dura.
El tratamiento de la gingivitis consiste en eliminar la placa bacteriana y el sarro mediante una limpieza dental y en enseñarle al paciente la correcta técnica de cepillado.
Si la gingivitis no se trata progresa a periodontitis con la acumulación de placa bacteriana y sarro por debajo de la encía y con la destrucción del hueso que soporta al diente. Si ésta no es tratada a tiempo se puede producir la pérdida de piezas dentarias.
El tratamiento de la periodontitis consiste en eliminar el sarro sobre y bajo las encías (destartraje supragingival y subgingival) y en pulir la raíz del diente (pulido radicular). Sin embargo, si la enfermedad está avanzada podría ser necesario realizar una cirugía periodontal para regenerar el hueso que se haya perdido.


